最近の手術
- HOME
- 最近の手術
2026年4月の手術
30代 女性 未破裂脳動脈瘤
頭部検査により右内頚動脈に6mmの脳動脈瘤が発見されました。破裂してくも膜下出血を来す危険性があるため、血管内手術で脳動脈瘤にコイルを充填してその危険を無くしました。
2026年3月の手術
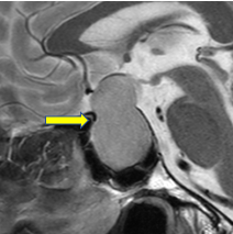
40代 男性 下垂体腫瘍
頭痛の精査でMRIを撮影しましたところ、脳底部の脳下垂体に腫瘍がみられ、視神経を圧迫していました。開頭ではなく、鼻孔から腫瘍を摘出しました。
2026年2月の手術
77歳男性 右三叉神経痛
右顔面の強い痛みが続き、鎮痛剤内服やペインクリニックで神経ブロックを受けられていましたが、効果がなく、手術を希望されました。
いずれも脳血管が脳神経を圧迫していました。血管と神経を離すことで症状は改善しました。
2026年1月の手術
60歳 男性 頚椎症性神経根症
左手のしびれがあり、整形外科で治療を受けられていましたが、改善なく、力も落ちてきたので、来院されました。第5/6頚椎と6/7頚椎の神経が通る椎間孔に骨の突出(骨棘)があり、神経が圧迫されていました。頚部前方から手術を行い、骨棘を取り除き神経の圧迫を解除しました。
2025年12月の手術
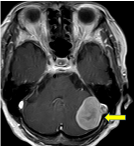
80歳女性 脳腫瘍(髄膜腫)
数年前の検査では見られなかった脳腫瘍が左小脳に発見されました。高齢ですが、急速に大きくなり危険となる可能性があったため、手術を行いました。
2025年11月の手術
66歳男性 腰椎椎間板ヘルニア(上行性)
腰椎全体の変形があり、腰部脊柱管狭窄症の診断で、他院で治療を受けられていました。
右足の痛みが強く歩行に支障があるため相談にみえられました。2/3腰椎右に椎間板が上方に逸脱して、神経が強く圧迫されていましたので、手術を行いました。
全体に問題がありますが、神経に最も負担になっている部分のみを手術すると負担も少なく、効果的です。
2025年10月の手術
71歳女性 頚椎椎間板ヘルニア
左手の痛みが続き、いろいろと治療を受けられたが、改善しないため、3テスラMRIで詳しく検査を行いました。
5/6頚椎と6/7頚椎の椎間板と骨棘が突出して神経を押しているのが確認され、頚部前方から手術を行いました。
2025年9月の手術
47歳 女性 右舌咽神経痛
右側の喉奥の強い痛みが長年続き、耳鼻咽喉科の疾患はないとのことで来院されました。
頭蓋内の舌咽神経が脳から出るところに血管が絡んで痛みを起こしていました。
小開頭で神経と血管を離す手術を行いました。
2025年8月の手術
85歳 男性 左顔面けいれん
左の顔面の痙攣があり、瞼が閉じて字が読めないとのことで来院されました。
左顔面神経が脳血管で押されて刺激を受けて症状が出ていました。
手術で顔面神経と脳血管を離すと、症状は消失しました。
2025年7月の手術
66歳女性 左三叉神経痛
左顔面の強い痛みがあり来院されました。頭蓋内で脳から三叉神経が出てくる所に血管がからみついて起こる症状でした。薬剤では効果がなく、手術を行い、血管を神経から離しました。術後痛みは消失しました。
2025年6月の手術
46歳女性 脳腫瘍(髄膜種)
最近頭痛が頻繁に起こり、左耳が聞こえづらくなり来院されました。
MRIで左小脳の奥に大きな腫瘍が発見され、摘出術を行いました。
2025年5月の手術
63歳女性 右内頚動脈瘤(未破裂)
めまいがあり、頭部MRIを撮影したところ、右内頚動脈に10mmを超す大きな脳動脈瘤が発見された。くも膜下出血を起こす危険があり、血管内治療で動脈瘤塞栓術を行った。
2025年4月の手術
71歳男性 右中大脳動脈瘤(未破裂6mm)
数年前から右大脳の血管に瘤があり、経過をみていましたが、次第に大きくなり、くも膜下出血を起こす危険が大きくなりましたので、手術で動脈瘤にクリップをかけました。
2025年3月の手術
73歳女性 急性左中大脳動脈閉塞
腰椎の手術後にリハビリを兼ねて正月に自宅外泊をされました。既往症に脳梗塞があり、不整脈もあったため、血液を固まり難くする抗凝固剤を服用されていましたが、外泊中に自己中断されていました。正月明けにリハビリ中に突然、意識障害、言語障害、右半身麻痺が出現しました。MRIで左中大脳動脈の大きな2本の血管の1つが完全に閉塞していました。直ちにt-PAという強力な血栓溶解剤を点滴しましたところ、血管が開通して、元の状態に復帰されました。倒れられた場所と時間が幸運でした。
2025年2月の手術
83歳女性 脳動脈瘤
13年前に小さな脳動脈瘤が見つかり、経過を見ていましたところ、次第に大きくなり、破裂してくも膜下出血を起こす危険が高まりましたので、開頭クリッピング術を行いました。
2025年1月の手術
53歳 女性 切迫脳動脈瘤破裂
年末から軽い左後頭部痛があり、年初に目の前が白くなる症状があったそうです。起床時から物が二重に見えるようになり、瞼が塞がってきたために来院されました。
左第三脳神経(動眼神経)麻痺がみられました。左内頚動脈の脳動脈瘤が大きくなり、第三脳神経を圧迫したためにおこったものです。くも膜下出血が迫っている兆候ですので急遽手術となりました。
脳動脈瘤をクリップで処理しました。
2024年12月の手術
81歳男性 多発性脳梗塞、頚部頚動脈狭窄症
運動中に突然右上下肢の脱力が出現して来院されました。
MRIで左大脳の多発性の脳梗塞と左頚部頚動脈の狭窄症が発見されました。
急性期の点滴治療などで症状は改善し、内服治療で経過をみることとしました。
今後、頚動脈の狭窄進行に注意して経過観察します。
2024年11月の手術
56歳男性 右三叉神経痛
長年右顔面の強い痛みがあり、薬を使用されていましたが、我慢の限界となり来院されました。右三叉神経が脳血管で圧迫されているのをMRIで確認して、神経と血管を離す手術を行いました。術後、顔面痛は消失しました。
2024年10月の手術
74歳 男性 腰椎圧迫骨折
1月に尻餅をつき、第2腰椎圧迫骨折があり、他院で保存的治療を受けられていました。
9月に腰痛が強くなって来院されました。新たに第3腰椎圧迫骨折がみられました。
第2腰椎骨折は数か月の間に進行して、ひしゃげていましたので、第3腰椎もそのようになる可能性がありましたので、
人工骨を注入する手術を局所麻酔で行いました。
2024年9月の手術
80歳 女性 慢性硬膜下血腫
7月に階段を踏み外して転倒し、頭を軽く打撲しています。
9月に入って右足を引きずるようになり来院されました。
MRIで左大脳を圧迫する慢性の血腫がみられ、手術を行いました。
症状は改善して元気に退院されました。
頭部打撲後しばらくして起こる病態で、特にご高齢の方は注意が必要です。
2024年8月の手術
66歳女性
右耳の耳鳴りと難聴が続き、耳鼻科より紹介されて来院されました。
右耳奥の内耳道から頭蓋内にかけて腫瘍がみられました。
腫瘍摘出術を行い、耳鳴りが軽減しました。
2024年7月の手術
脳動脈瘤
1. 47歳男性 右内頚動脈瘤 大きさ最大径11mm 喫煙歴22年 家族歴なし
2. 39歳男性 前交通動脈瘤 大きさ最大径2mm 喫煙歴21年 家族歴なし
喫煙は慢性的に血管に炎症が起こり、血管壁が弱くなり、動脈瘤の形成をもたらします。
喫煙者は早めの検査をお勧めします。
2024年6月の手術
81歳 男性
突然に、めまいが生じ、眼の焦点が合わなくなり来院されました。
MRIで脳幹部に小さな脳梗塞が見つかり、入院治療を行いました。
早期発見早期治療で症状は改善しました
2024年5月の手術
81歳 男性
腰椎圧迫骨折(第2、第3腰椎)
昨年12月に第1腰椎骨折後、他院で治療を受けられ、ようやく腰痛が改善したところで再び強い腰痛が出現して来院されました。
MRIで新たな骨折がみられ、第1腰椎のように骨変形が起こると考えられました。
第2、第3腰椎に局所麻酔後に針を進めて、人工骨を注入しました。
2024年4月の手術
72歳 男性
繰り返す脳梗塞、右腕頭動脈狭窄症
多発する脳梗塞が繰り返し起こる原因を調べたところ、心臓近くの大動脈から脳に向かう腕頭動脈に狭窄があり、ここから血栓が脳に飛んでいく脳塞栓症と診断しました。
カテーテル手術で狭窄部分を広げて、血栓ができないようしました。
2024年3月の手術
77歳 男性
腰椎変性すべり症
腰痛と足のしびれ痛みがあり、歩きづらくなり来院されました。
4/5腰椎に不安定なすべり症があり、脊柱管が狭くなり、神経が強く圧迫されていました。
手術で神経の圧迫を解除した後に、金具ですべりを戻して固定し、安定させました。
2024年2月の手術
86歳 女性
頚部脊柱管狭窄症
10年前に頚椎椎間板ヘルニアの手術を頚椎前方から受けられて、元気にされていましたが、急速に歩行障害が出現して来院されました。以前の手術部位の上下の脊柱管が狭くなり、頚髄が圧迫されていました。頚椎後方から手術を行いました。
2024年1月の手術
71歳 男性
胸椎黄色靭帯、後縦靭帯骨化症
10月に転倒した後から両足の運動、感覚障害が出現し、歩行が不安定となり、来院されました。MRI,CTで第2/3胸椎に脊髄を強く圧迫した硬い組織がみられました。
手術で全摘出しました。
2023年12月の手術
62歳 男性 頚部脊柱管狭窄症および腰部脊柱管狭窄症
両手と両足のしびれと脱力があり来院されました。
頚椎と腰椎の脊柱管狭窄があり、頚髄の変性や腰部神経の強い圧迫がみられました。
11月に腰椎、12月に頚椎の手術を行いました。
2023年11月の手術
61歳 男性
脳腫瘍
左手足の動きが悪くなり、MRIで脳腫瘍の増大が確認されました。
手術で取り除きました。
2023年10月の手術
73歳 女性
腰椎分離すべり症
左足の強い痛みがあり、来院されました。
MRIとCTを組み合わせた特殊撮影で、腰椎のずれが、神経を強く圧迫している所見がみられました。
神経を開放して、腰椎を安定させる手術を行いました。
2023年9月の手術
55歳 男性
多発性、頚椎椎間板ヘルニア
手足の脱力と痛み、感覚異常があり、来院されました。
第3/4、5/6、6/7、頚椎の椎間板と骨棘が飛び出して、頚神経、頚髄を圧迫していました。
3ヶ所を一度に手術を行い、症状は改善しました。
2023年8月の手術
74歳 女性
未破裂内頚動脈瘤
3年前から脳動脈瘤を外来で経過観察していましたが、増大して先端が膨らみ、くも膜下出血の危険があると判断されました。
カテーテルを用いた血管内手術で、脳動脈瘤の内部をコイルで充填して、破裂を予防
2023年7月の手術
2023年 7月の手術
48歳女性 左中大脳動脈瘤(未破裂)
他院の頭痛の検査で脳動脈瘤が指摘され、破裂の危険があると判断されて、2月に紹介来院されました。中大脳動脈の深部に4mm大の脳動脈瘤がみられました。周囲に穿通枝(運動神経の栄養血管)が張り付き、動脈瘤壁が非常に薄い部分もありました。
クリッピングで出血や運動麻痺が出る可能性があり、脳動脈瘤の壁を補強する被包術(ラッピング)としました。
2023年6月の手術
77歳 女性 脳腫瘍
ふらつきと記憶力低下があり来院されました。
前頭葉に大きな脳腫瘍があり、手術を行いました。
腫瘍は髄膜種で、全摘出しました。症状も改善されました。
2023年5月の手術
83歳 男性 頚部頚動脈高度狭窄
頭重感、ふらつきがあり来院されました。頚部頚動脈に強い狭窄がみられ、雑音が聴取されました。大きな脳梗塞が発生する可能性があり、血管内治療を行いました。
治療は新任の血管内治療専門医の古賀嵩久医師が行いました。
2023年4月の手術
71歳 女性 腰部脊柱管狭窄症
以前、他院で腰椎固定術を受けられていましたが、最近下肢痛が強くなり来院されました。
固定術の上の3/4腰椎に脊柱管狭窄が新たに生じていました。ここを広げる手術を行い、症状は改善しました。
2023年3月の手術
63歳 男性 頚椎症
一度頚椎の手術を受けられていますが、左手の痛みと脱力が続くため、再手術を行いました。
5/6頚椎左の神経が出てくる所に骨のトゲ(骨棘)がみられました。動脈と交差するところなので、顕微鏡を用いて慎重に神経の圧迫を取り除き、症状は改善しました。
2023年2月の手術
47歳男性 下垂体腫瘍(巨大)
下垂体の腫瘍が非常に大きくなり、視神経を圧迫して視力障害が進行しました。視神経の圧迫を直接取り除くため、開頭腫瘍摘出術を行いました。
2023年1月の手術
83歳男性 右頚部頚動脈高度狭窄症
夏頃から左手足の痙攣と脱力が断続的に続き、脳の検査では異常は無いと言われ、来院されました。
脳の血管に向かう頚部の大きな動脈に高度の狭窄が発見されました。症状は大きな脳梗塞の前兆と考えられましたので、手術を行いました。
2022年12月の手術
74歳女性 脳動脈瘤(左中大脳動脈、未破裂)
6mm大の脳動脈瘤が発見され、破裂して、くも膜下出血の危険が迫っているため、手術を行いました。
動脈瘤にクリップをかけて、くも膜下出血を防ぐことができました。
2022年11月の手術
45歳 男性 腰椎外側型椎間板ヘルニア
作業中に急に左下肢の激痛が生じ、来院されました。
腰椎MRIで左外側に椎間板が突出して、神経を強く圧迫していることが確認されました。
通常のヘルニアは中央部の脊柱管の中に起こりますが、これは外側に起こったヘルニアで、発見が難しいこともあります。
2022年10月の手術
56歳 女性 左三叉神経痛
左顔面の強い痛みが発作的に続き来院されました。
開頭手術を行い、三叉神経に接触していた静脈を移動させました。
66歳 女性 左三叉神経痛
左顔面の激しい痛みがあり来院されました。
手術を行い、三叉神経を圧迫していた3本の動脈を移動させました。
2022年9月の手術
53歳男性 未破裂脳動脈瘤(前交通動脈)
MRI検査で4.5mm大の未破裂脳動脈瘤が発見されました。
くも膜下出血の危険が迫っていると考えられ、手術(開頭クリッピング術)を行いました。
2022年8月の手術
40歳 女性 右三叉神経痛
数年前から右頬の強い痛みがあり、このため精神的にも疲れが蓄積するため、手術を希望されました。
三叉神経に大きな静脈が接触して痛みを起こしていました。術後心身ともに快適になられました。
2022年7月の手術
37歳男性 脳腫瘍(小脳血管芽腫)
ふらつきがあり来院されました。小脳に嚢胞(水分貯留)のある腫瘍が深部にみられました。
特殊なアプローチで腫瘍を全摘出しました。
2022年6月の手術
67歳女性 腰椎椎間板ヘルニア
1月頃から右足の痛みが続き来院されました。
第5腰椎/第1仙椎に小さいヘルニアがあり、神経が圧迫されていました。
切開して摘出することも可能ですが、切らずに治る方法を希望されました。
椎間板を徐々に溶かす新薬のヘルニコアという薬剤を注入しました。
2022年5月の手術
59歳男性 脳腫瘍
4月に頭が重く、ふらつきがあり、血圧が高くなって来院されました。
MRIで脳が腫れて、脳腫瘍がみられたため、5月に手術を行いました。
腫瘍は髄膜種で、全摘出し経過良好でした。
2022年4月の手術
2022年4月の手術
59歳 男性 左顔面けいれん
数年まえから左顔面全体のけいれんが持続するようになり来院されました。
脳から顔面神経が出てくる所に、左脳底動脈が入り込んで神経を刺激していました。
血管を神経から離す手術を行いました。
2022年3月の手術
2022年 3月の手術
75歳女性 未破裂脳動脈瘤(前交通動脈瘤)
頭痛があり来院されました。MRIで診断し、破裂してくも膜下出血を来す可能性がありましたので、手術(開頭クリッピング術)を行いました。
2022年2月の手術
52歳 女性 頚部脊柱管狭窄症、頚髄症
今年になって急速に歩行困難となって来院されました。
頚椎の脊柱管が椎間板ヘルニアや靭帯などで狭くなり、頚髄全体が圧迫変性していました。
脊柱管を広くする手術を行いました
2022年1月の手術
73歳 女性 腰部脊柱管狭窄症 変形性脊椎症
10年程前に腰椎の手術を受けられていますが、最近左足が強く痛むため来院されました。
腰椎全体の変性がありますが、一部で左神経の圧迫が強くみられましたので、この部分だけ顕微鏡を用いて、慎重に神経の圧迫を解除しました。
術後症状は軽減しました。
2021年12月の手術
40歳 女性 腰椎椎間板ヘルニア
ギックリ腰を時々起こしていたそうですが、12月初めに左下肢の強い痛みがあり、いつもと違う痛みなので来院されました。
腰椎下部左に椎間板が大きく突出して、神経を圧迫していました。手術で飛び出した椎間板を取り除き、神経を開放しました。
2021年11月の手術
56歳 男性 頚椎症
今年3月に左肩周囲の強い痛みがあり、左手の力が入らなくなり、他院で検査、治療を受けられましたが、
改善せず、リハビリしかないと言われて来院されました。
第6/7頚椎左の神経が出てくる椎間孔に大きな骨の突起が見られ、神経を圧迫していました。手術で取り除き、症状は改善しています。
2021年9月の手術
49歳 男性 左顔面けいれん
数年前から左顔面がピクピクと引きつる症状があり、来院されました。
大きな椎骨動脈とその分枝が、顔面神経が脳から出たところを強く圧迫していました。
手術でこれを開放しました。
2021年8月の手術
① 71歳 男性 下垂体腫瘍
一時的な行動異常があり来院されました。視神経を下から強く押し上げる下垂体腫瘍があり、視野狭窄がみられました。
経鼻的に腫瘍を摘出しました。術後視野が改善しています。
② 67歳 男性 頚部頚動脈高度狭窄症
ふらつきが強く、目がかすむ症状があり来院されました。
右頚動脈がほとんど詰まりかけた状態で、大きな脳梗塞が迫っている状態でした。カテーテルを挿入して血管を広げました。
2021年7月の手術
69歳 女性
三叉神経痛右顔面の非常に強い痛みがあり、薬が効かないということで4月に来院されました。
MRIで右三叉神経に血管が接触しているのを確認し、開頭術を行いました。
三叉神経(白)が血管(赤)により強く圧迫されていました。
2021年6月の手術①
81歳 男性 頚部頚動脈高度狭窄症
今年4月から左の耳鳴りが一日中すると来院されました。
頚部聴診で心拍動と一致してザーザーという雑音が聴かれました。
MRI,CTで左頚動脈に高度狭窄がみられ、大きな脳梗塞が切迫していると判断しました。
血管内手術で頚動脈ステントを留置し、頚動脈を拡張しました。
2021年6月の手術②
53歳 女性 未破裂脳動脈瘤
3月からめまいが続き、物が二重に見えることもあるので、4月に来院されました。
MRIで右内頚動脈に5mmほどの脳動脈瘤が発見されました。
くも膜下出血が切迫していると考えられ、血管内手術を行いました。
症例④:動脈瘤クリッピング
| 病名 | 動脈瘤クリッピング |
|---|---|
| 年齢 | ― |
| 性別 | ― |
| 主訴 | 激しい頭痛 |
| 治療内容 | 左内頸動脈に7mmの動脈瘤があり、視神経を圧迫していました。脳、血管、神経を保護しながら4本のクリップをかけました。 |




